الرئيسية
كل العرب موبايل
من نحن
اتصل بنا
ارسل خبرا
00
01
40
الرئيسية
عربي و دولي
محلي
اقتصادي
رياضة
ثقافة وفنون
علوم وتكنولوجيا
منوعات
محطة كل العرب
البنك الأردني الكويتي يعلن عن بدء تعاون استراتيجي مع شركة Agile-Leads
بنك الإسكان ينفذ تجربة إخلاء وهمية لمبنى الإدارة العامة
الاتحاد الأوروبي يؤكد عدم اعترافه بسيادة إسرائيل على الأراضي المحتلة منذ 1967
ارتفاع أسعار الذهب محليًا .. وغرام 21 عند 102.8 دينار
المزيد
الرئيسية
> علوم وتكنولوجيا
السابق
1
2
82
83
84
90
91
التالي
استخدام تقنيات الصناعات الالكترونية في بناء الأعضاء الاصطناعية
02-08-2013 :: 03:50:07
"غوغل" تقدم جولة افتراضية داخل أكبر طائرة ركاب في العالم
02-08-2013 :: 01:25:38
ميكانيكا الكم بين الاعجاز القراني والدليل العلمي
31-07-2013 :: 10:46:41
علماء صينيون يحصلون على نسيج الاسنان من البول
31-07-2013 :: 06:35:24
رضّاعة للأطفال تسخّن الحليب ذاتيا
31-07-2013 :: 02:27:38
الشواحن المقلدة تتسبب في حدوث صعق كهربائي
31-07-2013 :: 03:37:25
«كريبي دول».. نظام لمراقبة مستخدمي الإنترنت
31-07-2013 :: 03:30:57
«سوني» تطرح جهاز لابتوب جديدا.. بشاشة لمس
31-07-2013 :: 03:24:09
قريبا.. وداعا للذكريات المؤلمة
31-07-2013 :: 12:22:47
ماكينة ألمانية تنتج قطع جلد بشرية
31-07-2013 :: 12:26:57
سيارات طائرة في الامارات العربية المتحدة قريباً
31-07-2013 :: 12:17:49
بطاقات معايدة بتقنية ثلاثية الأبعاد عبر الأجهزة الذكية
31-07-2013 :: 12:13:15
سوني تستعد لإطلاق هاتف ذكي منافس
30-07-2013 :: 12:57:30
ارتفاع عائدات فيسبوك بنسبة 53%
30-07-2013 :: 12:55:50
إقبال على الحواسيب ذات الشاشات الصغيرة
30-07-2013 :: 12:52:21
جوجل تنفي قدرة "جوجل إيرث" على إحصاء أعداد المتظاهرين
29-07-2013 :: 05:45:39
فلاديمير زفوريكين – مخترع التلفزيون
29-07-2013 :: 03:10:18
نظارة تقرأ ما يشاهده صاحبها
28-07-2013 :: 01:09:30
الطاقة الشمسية بين الحلم والواقع
25-07-2013 :: 08:09:52
الصين أكثر الدول تصديرا للهجمات الإلكترونية
25-07-2013 :: 07:45:24
دراسة تثبت ذوبان جليد القطب الجنوبي بوتيرة أسرع مما كان سائدا
23-07-2013 :: 03:35:46
مؤسس "تويتر" يقترح خدمة على "فيسبوك" لزيادة الأرباح
23-07-2013 :: 04:02:35
علماء يحددون 5 فيتامينات للحفاظ على الشباب والنضارة
22-07-2013 :: 08:16:12
بالفيديو: العلماء صوروا سقوط ابطأ قطرة في العالم
21-07-2013 :: 04:47:52
سكان الكواكب الاخرى يراقبوننا منذ مليون عام
21-07-2013 :: 03:59:21
سكين ذكية لاكتشاف الأنسجة السرطانية واستئصالها
20-07-2013 :: 09:01:31
معدن الذهب ولد بنتيجة كوارث نادرة
19-07-2013 :: 08:56:26
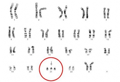
مرض "متلازمة داون" قابل للعلاج
19-07-2013 :: 03:41:33
موظفو "فيسبوك" لديهم إمكانية الدخول إلى أي حساب شخصي على الموقع
18-07-2013 :: 02:35:37
جراح يحضر لعملية زرع رأس إنسان في جسد آخر
18-07-2013 :: 02:56:40
أسنان المومياء تكشف الجفاف في مصر القديمة
17-07-2013 :: 06:14:31
اكتشاف قمر جديد يدور حول كوكب نبتون
16-07-2013 :: 12:52:43
أردني يبتكر "ثلاجة بلا كهرباء" للمناطق النائية
15-07-2013 :: 11:57:34
فيسبوك يطلق ميزة لإضافة تاريخ الميلاد بالتقويم الهجري
15-07-2013 :: 05:19:26
واتس آب تطلق تحديثاً للتراسل الفوري عبر الإنترنت
15-07-2013 :: 05:18:02
تطبيق لاستخدام أجهزة «أندرويد» عن طريق الحاسب
15-07-2013 :: 02:31:21
تحديث تطبيق «واتس آب» لنظام «ويندوز فون»
15-07-2013 :: 02:30:01
«ستاتينا».. تقنية جديــدة تحوّل الأسطح إلى شاشات لمســية
15-07-2013 :: 02:28:26
جراح أعصاب إيطالي يعد لزراعة رأس إنسان في جسد آخر
14-07-2013 :: 05:03:02
كوكب ازرق لامع يمطر زجاجاً
12-07-2013 :: 07:34:19
السابق
1
2
82
83
84
90
91
التالي
أخر الأخبار
د. النسور يستعرض دور "البوتاس العربية" في دعم النمو الاقتصادي وترسيخ ركائز الأمن الاقتصادي
وزير البيئة يزور مصنع “معادن المدينة” ويؤكد تشجيع وتعزيز مشاريع إعادة التدوير والاقتصاد الأخضر
"أردننا جنة" يستقطب 5400 مشارك في أسبوعه الأول ويجسد تكاملية القطاع السياحي
السياحة النظيفة حقنا ومسؤوليتنا
بنك الاسكان يطلق حملة جوائز 2026 لحسابات توفير "مستقبلي"
اقرأ أيضا
الأردن في المرتبة 29 عالميًا على مؤشر انتشار الذكاء الاصطناعي
الجرائم الإلكترونية: ارتفاع وتيرة اختراق حسابات واتس آب
أورنج الأردن توقع اتفاقية مع Proparco لتوحيد جهودهما لدعم المشهد الرقمي
الحكومة ملتزمة بأن تكون جميع خدماتها إلكترونية عام 2025
الحكومة تشتري أجهزة حماية لـ60 مؤسسة لـ تطوير منظومة الأمن السيبراني
استفتاءات
كيف تتوقع نهاية الاحداث الجارية في قطاع غزة؟
تصويت
تابعونا على الفيس بوك